Эффективность
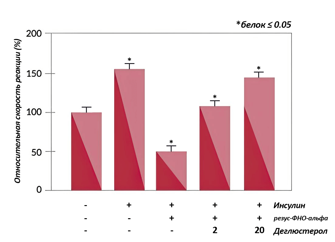
1) Всасывание глюкозы преадипоцитами
Клетка:3T3-L1 (преадипоцит)
01. Действие Деглюстерола на усвоение глюкозы
Испытания на эффективность (In vitro)
  • Действие Деглюстерола при поглощении глюкозы адипоцитами
Сниженное всасывание глюкозы ФНО-альфой было восстановлено методом применения Деглюстерола в клетках преадипоцитов.
2) Сигнальный путь Деглюстерола
Клетка : Дифференированный 3T3-L1 (преадипоцит)
  • Повышенная регуляция пути АМАПК
Уровни фосфорилирования АМАПК и ПКА, нисходящей молекулы АМАПК, были увеличены методом применения Деглюстерола.
1) Подавление инсулинорезистентного сигнала
Клетка : Дифференированный 3T3-L1 (преадипоцит)
01. Действие Деглюстерола на чувствительность к инсулину и инсулинорезистентность
  • Действие Деглюстерола на сигнал инсулинорезистентности
Уровни фосфорилирования сигнальных молекул, связанных с инсулинорезистентностью, стимулировались в комплексном применении резус-ФНО-альфы и инсулина, и они были снижены при использовании Деглюстерола.

2) Подавление инсулинорезистентности, связанной с экспрессией генов
Клетка : Дифференированный 3T3-L1 (преадипоцит)
  • Действие Деглюстерола на инсулинорезистентные гены
ФНО-альфа стимулировали инсулинорезистентные гены, ФНО-альфа, мишень рапамицина в клетках и P70S6K, которые были понижены методом применения Деглюстерола
3) Увеличение сигнала чувствительности к инсулину
Клетка : Дифференированный 3T3-L1 (преадипоцит)
  • Действие Деглюстерола на сигнал чувствительности к инсулину
ФНО-альфа стимулировало понижающую регуляцию сигнала чувствительности к инсулину, фосфо-СИР (Tyr632), фосфоинозитол-3-киназе, фосфо-протеинкиназе В и фосфо-АМАПК, которые были восстановлены и увеличены при использовании Деглюстерола дозозависимым образом
4) Всасывание глюкозы, связанное с экспрессией генов
Клетка : Дифференированный 3T3-L1 (преадипоцит)
  • Действие Деглюстерола на гены, связанные со всасыванием глюкозы
Уровень транскрипции генов, связанных со всасыванием глюкозы, был повышен при применении Деглюстерола дозозависимым образом
03. Действие Деглюстерола при воспалении, вызванном СЖК (свободные жирные кислоты)
  • Действие Деглюстерола при воспалении, вызванном СЖК
Уровень и-РНК ФНО-альфа, вызванный пальмитатом, снижался при применении Деглюстерола дозозависимым образом
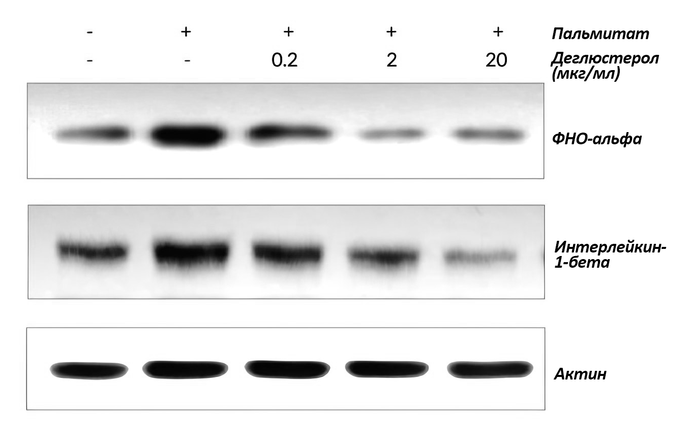
2) Подавление воспалительной экспрессии цитокинов, вызванной пальмитатом
Cell: INS-1 (Бета-клетка поджелудочной железы крысы)

  • Действие Деглюстерола при воспалительной экспрессии цитокинов, вызванной пальмитатом
ФНО-альфа, вызванные пальмитатом и трансляционные уровни интерлейкина-1, бета были снижены методом использования Деглюстерола.

1) Подавление экспресии ФНО-альфа, вызванной пальмитатом
Клетка: INS-1 (Бета-клетка поджелудочной железы крысы)
04. Действие Деглюстерола при гибели бета-клеток поджелудочной железы, вызванной СЖК
1) Подавление гибели бета-клеток поджелудочной железы, вызванной пальмитатом
Клетка: INS-1 (Бета-клетка поджелудочной железы крысы)
  • Действие Деглюстерола при гибели бета-клеток поджелудочной железы, вызванной СЖК
Вызванный пальмитатом апоптоз бета-клеток поджелудочной железы был предотвращен путем применения Деглюстерола дозозависимым образом
05. Действие Деглюстерола при бета-окислении СЖК
1) Бета-окисление СЖК, связанное с экспрессией генов
Клетка: HepG2 (гепатоцеллюлярная клетка)
  • Действие Деглюстерола при воспалении, вызванном СЖК
Уровень и-РНК ФНО-альфа, вызванный пальмитатом, снижался при применении Деглюстерола дозозависимым образом